В Новгородской больнице прооперировали женщину с гигантской грыжей
Врачи Новгородской областной клинической больницы провели операцию 70-летней жительнице города Холм, у которой грыжа брюшной полости достигла 41% объёма.
27 апреля, 2026, 15:24 0
Источник:
Пенсионерка уже сталкивалась с этой проблемой: несколько лет назад ей удаляли пупочную грыжу, затем — рецидив послеоперационной. Со временем грыжа вернулась и значительно выросла. Женщина долго откладывала повторное вмешательство, но когда дискомфорт стал невыносимым, обратилась в приёмный покой Новгородской областной клинической больницы.
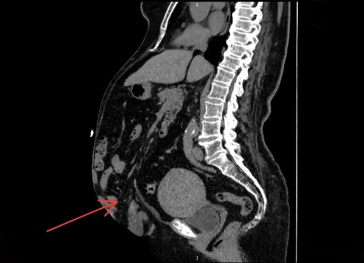
Компьютерная томограмма показала, что грыжа занимает 41% объёма брюшной полости — такое состояние называют потерей домена. «В год мы оперируем до 40 пациентов с послеоперационными грыжами, из них гигантские встречаются у одного-двух человек. Для хирурга это не самая простая операция, требуется опыт, отличное знание процедуры. Кроме того, нужна тщательная предоперационная подготовка, чтобы подобрать нужный вид оперативного вмешательства», — отметил заместитель главного врача по хирургической работе Вячеслав Смирнов.
Медики решили провести ненатяжную пластику с полной реконструкцией брюшной стенки — современный метод, который позволяет уменьшить риск осложнений и сократить длительность операции.
«Пациентка перенесла всё благополучно, выписана домой. Не прошло и месяца после операции, а она ведёт активную жизнь», — подчеркнул хирург. Сейчас женщина наблюдается у врача в Холме, ходит на перевязки. Дополнительно её состояние контролируют дистанционно через телемедицинские консультации в мессенджере МАХ.
Читайте также
















